Smile Gallery

View Our Work

Schedule Consultation
Smile Gallery

View Our Before and After Gallery

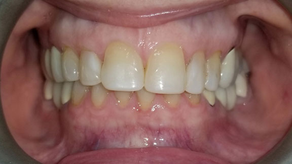
Before After

Teeth Whitening Case 1

Before After

Teeth Whitening Case 2

Before After

Teeth Whitening Case 3

Before After

Teeth Whitening Case 4

Before After

Teeth Whitening Case 5

Before After

Veneers Case 1

Before After

Veneers Case 2

Before After

Veneers Case 3

Before After

Crowns

Schedule Your Appointment Today

Schedule Consultation