Dental Implants - Las Vegas, NV

Dental Implants Help You Smile Confidently Again

Schedule Consultation

Dental Implants Closely Mimic Natural Teeth

Missing teeth can have negative aesthetic consequences, but it can also lead to more than embarrassment about the condition of your smile. Even the loss of a single tooth can cause a change in your bite, excess wear on other teeth, and an increased difficulty chewing. If you are missing teeth, you may have noticed that the jaw bone around the empty tooth socket has receded, prompting surrounding teeth to shift. Living with tooth loss, dentures, or even with dental bridges, is no longer your only option thanks to dental implants. Dental implants are a tooth replacement solution that closely mimics a healthy natural tooth. They provide nearly the same stability, function, and aesthetic appeal as your original teeth and require the same level of at-home oral health care to help them last for the rest of your life.

Dr. Garhardt Discusses Dental Implants

The Benefits of Dental Implants

• Improved self-esteem
• Highly aesthetic
• Increased comfort
• Strong and durable
• Improved oral health
• Prevents further jaw bone loss
• Ability to eat most foods
• Long-term tooth replacement

The In-House Dental Implant Process

Dr. Steven Garhardt will perform a comprehensive examination of your mouth to determine if dental implants are right for you. In some cases, he may recommend bone grafting to ensure that your jaw bone has enough volume to support the implant post. We both place and restore dental implants in our office, so there is no need to be referred to an outside doctor. Our dental implant treatment process includes:

  • Oral Health Assessment

    We begin with a comprehensive evaluation of your hard and soft tissue to assess the effect of your tooth loss and determine if any bone grafting is necessary. During this appointment, we also provide the opportunity for you to ask any questions or present your concerns about the treatment process.

  • Diagnosis and Treatment Planning

    You will undergo a painless and fast cone beam CT scan. This will help us see areas of your mouth, surrounding teeth, and jaw bone. We can use these 3D digital images to more accurately plan your dental implant surgery.

  • Dental implant surgery

    Placing a dental implant is a routine procedure for us, generally requiring only local anesthesia, though we do offer oral sedation. During surgery, a titanium post is inserted into the jaw bone. Because the gums naturally contour to the shape of the abutment—the connecting piece between the post and the dental crown—we customize each one to ensure a more seamless dental crown fit.

  • Implant Restoration

    When your dental implant is fully integrated with your jaw bone, about 4-6 months later, you will visit our office once more to receive your final restoration. Your dental crown is customized to the size, shape, and color of your missing tooth and will restore ideal aesthetics and function.

Improving Surgery Outcomes with 3D Imaging

The cone beam CT (CBCT) scan provides a higher level of detail than traditional two-dimensional x-rays do. The result of a CBCT scan is a clearer, less distorted three-dimensional digital images of the teeth, mouth, and jaw bone. These images give insight into the width, height, and thickness of the jaw bone, in addition to the location of the nerve and artery positioned near the base of the jaw. When planning your treatment, we use the results of the CBCT to help determine the most accurate position and depth when placing the dental implant. This greatly improves accuracy and predictability of dental implant surgery.

Trust in Over Twenty Years of Dental Care

Dr. Garhardt both places and restores dental implants in-house, which means you can enjoy the benefits of receiving comprehensive care from a single, highly-experienced dentist, without needing to visit two locations. Dr. Garhardt also has over twenty years of experience successfully placing and restoring dental implants, in addition to maintaining over 30 hours of continuing education courses each year. He considers how your dental implants will affect both the aesthetics and function of your mouth, and strives to provide each patient with seamless and beautiful results.

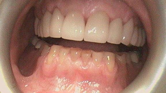
Before And After Photos

Before After

Dental Implants Case 1

A confident, beautiful smile is possible with the help of dental implants! Contact our office to schedule your consultation.

Schedule Consultation